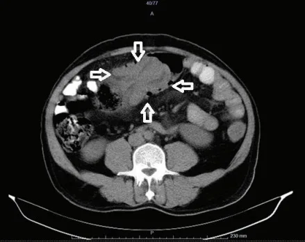
哎呀,说到这个肠套叠CT图,真是让人心惊胆战的!你知道吗,那种图一出来,医生们一个个都皱起了眉头,像是看到了什么不得了的大问题。我记得有一次,一个小朋友的家长拿着那张CT图来找我,脸上的表情比哭还难看。他们说,孩子肚子疼得厉害,做出来的CT图上,肠子就像是一条扭成了麻花的小蛇,真是让人看了心疼。

那图上的肠子,一层套一层,就像是玩偶里的小人儿,一个套一个,看得人眼花缭乱。医生说,这种情况要是不及时处理,孩子可是会有生命危险的。听到这话,家长的腿都软了,眼泪止不住地往下掉。我看着他们,心里也是五味杂陈,只能安慰说,医生们会尽全力救治的。

肠套叠这事儿,真是让人又急又怕。每次看到那些CT图,我都在想,这些小生命得多坚强,才能挺过这一关。希望所有的孩子都能健康成长,远离这些可怕的病痛。


tokenpocket官网版下载:https://cjge-manuscriptcentral.com/software/65916.html
上一篇:记录一次FRP内网穿透搭建
下一篇:高可用集群KEEPALIVED