在医学的迷雾中,我曾像一艘船在未知的海域里航行,寻找着方向。克罗恩病,这个名字在我生活中逐渐变得清晰,它是我的痛苦之源,也是我不得不面对的现实。

记得那年春天,我的腹部开始不时传来隐隐的痛楚,起初我并未在意,以为只是饮食不适引起的暂时性问题。但随着时间的推移,疼痛愈发频繁,伴随而来的还有消化系统的诸多不适。我开始焦虑,四处求医,却始终找不到明确的答案。

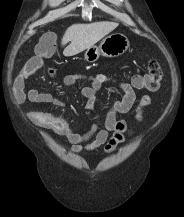
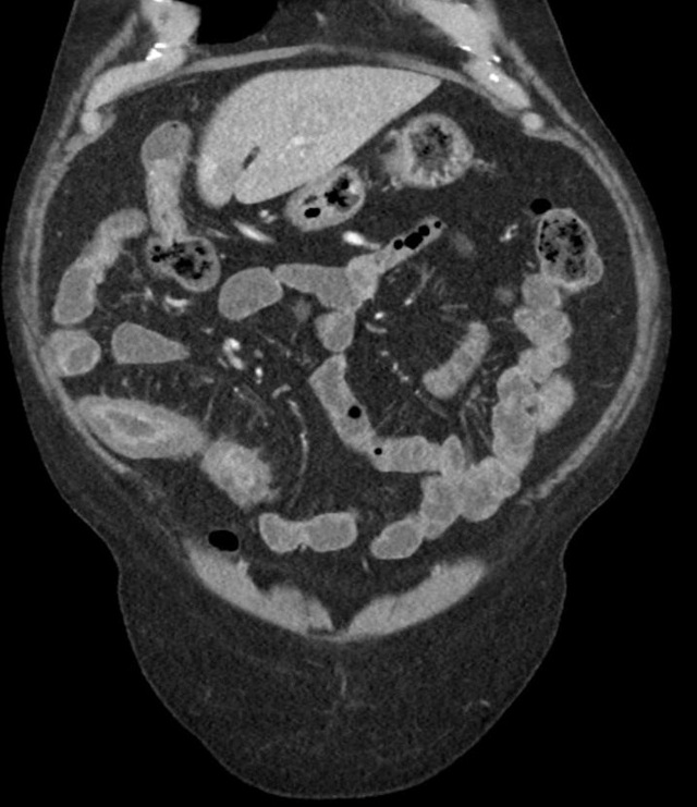
直到有一天,一位内科医生建议我进行一系列深入的检查。通过内镜检查和影像学检查,他们发现了肠道的异常炎症和穿透性病变,这些特征与克罗恩病的诊断标准高度吻合。那一刻,我的心情复杂难言,既有终于找到病因的释然,也有对未来治疗道路的担忧。

克罗恩病的诊断并非易事,它需要医生通过详细的临床症状观察、实验室检查和影像学检查来综合判断。对于我来说,这个过程是漫长而艰辛的,但也是我与。


tokenpocket官网版下载:https://cjge-manuscriptcentral.com/software/65916.html